Margaret is a happy and bouncy 2 year old terrier. A few months ago, she started showing stiffness and some discomfort after long walks. Her owner, Sally, took her to see her usual vet, Dr. Higson. Upon his examination of Margaret, Dr. Higson noticed that she had loose patellae (kneecaps) on both of her hind legs.

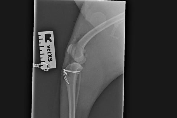
He discussed his findings with Sally and advised x-rays to further investigate the issue. The x-rays showed that Margaret had some inward deviation of her shin-bones which had happened whilst she was still growing and this was contributing to the laxity. Dr. Higson advised surgical correction for both of Margaret's hind legs, as the looseness of the kneecaps was causing discomfort and joint arthritis. Surgery was scheduled for the first leg and during the procedure, Dr. Higson deepened the groove the patella runs in and corrected the angulation of the top of the shin-bone.

Margaret recovered well from her first surgery and once she is strong enough she will be going under the knife again to correct her other side!

Margaret PO 1
Margaret 1
Margaret Running On The Field