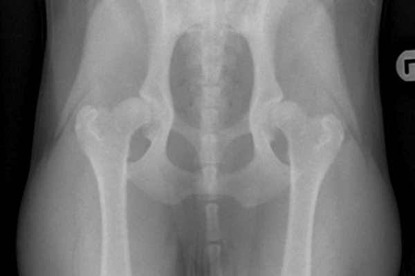
As a puppy, labrador retriever Bruce was always to run about and play. But Bruce's owner, Julie a registered head veterinary nurse from Warrington knew from an early age that Bruce had issues with hind legs. "Bruce always had 'clicky' hips and I was suspicious that there was a problem from when he was young puppy'. Bruce was first x-rayed at 6 months of age and Julie's vet, Dr. Iain Mottram from Warrington Vets4Pets noticed the hip abnormalities straight away. "Bruce's hip joints had not developed properly and the result was that the joints would 'slip' in and out of position - this condition is very painful" Dr. Mottram explains. 

The decision was made to let Bruce mature and his discomfort was managed with pain-killers and joint supplements. Bruce's pain levels decreased initially, but as time went on it became clear that he was unable to exercise as much as he used to and he was very stiff getting up in the mornings. When Bruce was 3 and half years old, in discussion with Dr. Currivan, Julie decided that the time had come for Bruce's surgery. 

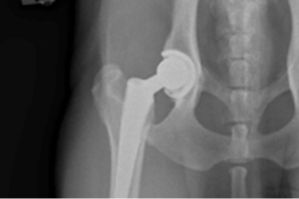
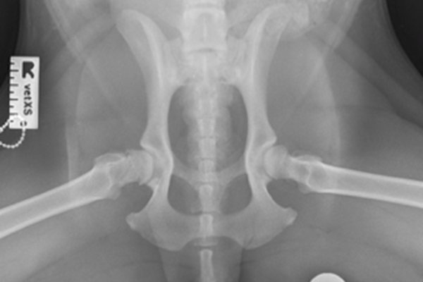
Bruce had further x-rays taken under anaesthetic so that his pelvis and femur could be very accurately measured for the implants that would be needed. 

In August 2019, Bruce had a hip replacement surgery on his right hip at West Yorkshire Veterinary Referrals. The surgery was performed by Dr. Currivan, with assistance from Dr. Higson. The surgery went very well and Bruce's discomfort was so well managed that he walked on his new hip immediately after surgery! 

Bruce was kept at the hospital overnight so that he could be monitored. He was discharged the following day after his surgery and he is recovering excellently well to date from his procedure. 

Hip replacement surgery (THR) is available through vetXS for all suitable patients.

Screen Shot 2019 10 04 At 11.27.41
25109307 F205 46Ce Aede 779C391c6a34
Screen Shot 2019 10 04 At 11.27.48
B9ea6884 164F 460B Be42 8380F3bb5269
Screen Shot 2019 10 04 At 11.27.57
06816Cc7 Ddb2 4A86 Be04 B51f96f35787